Apa itu Penyumbatan Jantung/Arteri Tersumbat?
Penyumbatan jantung, penyumbatan pembuluh darah atau penyakit arteri koroner adalah suatu kondisi dimana aliran darah melalui satu atau lebih dari tiga arteri koroner utama terhenti sebagian atau seluruhnya.
Apa Penyebab Jantung Tersumbat/Arteri Tersumbat?
Penyebab paling umum dari penyumbatan arteri jantung adalah aterosklerosis koroner. Penyebab yang kurang umum termasuk kejang arteri koroner dan vaskulitis arteri koroner.
Aterosklerosis Koroner (Arteri Tersumbat)
Ini adalah penyebab paling umum dari penyakit arteri koroner. Selain itu, hal ini juga merupakan penyebab umum penyumbatan arteri jantung sehingga identik dengan penyakit arteri koroner.
Aterosklerosis disebabkan oleh penumpukan plak di dinding arteri koroner. Jika tidak terdiagnosis dan tidak diobati, plak akan semakin menumpuk, sehingga secara bertahap meningkatkan penyumbatan pada arteri koroner. Hal ini menghasilkan kondisi klinis yang disebut penyakit arteri koroner stabil (Gambar 1b).
Jika plak yang berkembang pada aterosklerosis pecah, maka akan menimbulkan sindrom klinis akut yang disebut sindrom koroner akut (ACS). Serangan jantung adalah bagian dari ACS (Gambar 1c)
Hal ini terjadi ketika lapisan dalam plak (intima) terganggu, dapat terbentuk bekuan darah di atasnya, dan semuanya tumbuh dengan cepat. Hal ini dapat menyumbat arteri dan menyebabkan iskemia miokard yang parah dan tiba-tiba, sehingga menyebabkan ACS (Gambar 2).
Kejang arteri koroner
Ini adalah penyebab penyakit arteri koroner yang kurang umum. Pada kondisi ini, terjadi pengencangan sementara pada otot-otot dinding arteri (kejang), dan hal ini dapat menurunkan atau bahkan menghambat aliran darah ke bagian otot jantung untuk sementara waktu.
Berbeda dengan angina pada umumnya, yang biasanya terjadi akibat aktivitas fisik, kejang arteri koroner sering terjadi saat istirahat, biasanya antara tengah malam dan dini hari.
Angina kejang arteri koroner juga disebut angina Prinzmetal, angina vasospastik, atau angina varian.
Pemicu kejang arteri koroner yang umum diketahui adalah:
Penggunaan tembakau
Paparan dingin
Stres emosional yang ekstrem
Penggunaan obat-obatan stimulan ilegal, seperti amfetamin dan kokain
Vaskulitis arteri koroner (CAV)
Hal ini merupakan penyebab penyakit arteri koroner yang jarang terjadi dimana terjadi proses inflamasi spesifik pada arteri koroner atau bagian dari proses inflamasi sistemik, dimana arteri koroner merupakan salah satu dari beberapa organ sasaran yang mengalami kerusakan.
Ada beberapa penyebab CAV. Penyakit yang lebih sering dan lebih jelas adalah penyakit Kawasaki, arteritis Takayasu, Poliarteritis Nodosa, dan Arteritis Sel Raksasa.
Berbeda dengan penyakit aterosklerotik yang lebih umum, vaskulitis arteri koroner cenderung menyerang kelompok populasi muda.
CAV dapat menyebabkan berbagai komplikasi koroner, misalnya aneurisma arteri koroner, lesi stenotik koroner, dan trombosis, yang semuanya dapat menyebabkan sindrom koroner akut.
Apa saja faktor risiko Penyumbatan Jantung?
Karena aterosklerosis adalah penyebab paling umum dari penyumbatan jantung, faktor risiko penyumbatan jantung yang paling umum adalah faktor risiko aterosklerosis, yaitu:
- Merokok,
- Kurangnya aktivitas fisik
- Pilihan makanan yang buruk
menuju ke
- Diabetes mellitus,
- Tekanan darah tinggi
- Kolesterol Tinggi
Apa Akibat Penyumbatan Jantung?
Penyumbatan jantung kronis yang tidak diobati secara bertahap dapat menyebabkan iskemia jantung progresif. Hal ini dapat menyebabkan peningkatan gejala penyumbatan arteri, yang secara bertahap mengurangi toleransi upaya. Hal ini dikenal sebagai penyakit arteri koroner stabil atau sindrom koroner kronis.
Stres fisik atau emosional yang tiba-tiba, tidak terduga, atau parah dapat menyebabkan pecahnya plak sehingga menyebabkan penyumbatan arteri koroner yang signifikan secara total atau subtotal, sehingga mengakibatkan sindrom koroner tidak stabil alias sindrom koroner akut. Hal ini meningkatkan risiko kematian.
Gambar 2 Perkembangan aterosklerosis dari plak stabil menjadi plak rentan
(Seiring berjalannya waktu, tidak adanya pengobatan, kepatuhan yang buruk terhadap rencana pengobatan)
Apa saja gejala Penyumbatan Jantung/Arteri Tersumbat?
Lebih dari 30% kematian jantung mendadak disebabkan oleh penyakit arteri koroner sebagai kejadian klinis pertama.
Artinya, pasien tidak wajib mengalami gejala kecil penyumbatan arteri sebelum mengalami gejala yang lebih besar seperti sindrom koroner akut. Kematian jantung mendadak bukanlah gejala awal penyakit arteri koroner yang jarang terjadi.
Gejala penyumbatan pembuluh darah antara lain:
– Sesak napas
– Nyeri di sekitar area dada atau tulang dada
– Pusing
– Merasa mual
Pelajari lebih lanjut tentang gejala penyumbatan arteri di sini.
Apa pengobatan untuk Penyumbatan Jantung/Arteri Tersumbat?
Perawatan penyumbatan jantung melibatkan pengobatan penyebab penyumbatan jantung.
Seperti semua pengobatan, pengobatan penyumbatan jantung melibatkan piramida terapeutik.
Perubahan gaya hidup
Dasar piramida melibatkan penerapan gaya hidup yang lebih sehat. Hal ini melibatkan penghentian kebiasaan tidak sehat seperti merokok dan membuat pilihan pola makan dan aktivitas fisik yang lebih sehat.
Pasien harus berkomitmen untuk mematuhi rencana perawatan yang telah disepakati.
Langkah selanjutnya akan melibatkan pengobatan jika diperlukan. Pengobatan berikut akan menjadi prosedur di puncak piramida.
Pada setiap titik, indikasi, risiko dan alternatif terhadap pilihan terapi perlu didiskusikan dan rencana penatalaksanaan disepakati bersama.
Obat penyumbatan jantung
Obat khusus untuk penyumbatan jantung akan bergantung pada penyebab spesifik penyumbatan jantung.
Secara umum, ada berbagai obat untuk mengencerkan darah, misalnya aspirin atau clopidogrel, obat antiangina yang mengendurkan pembuluh darah koroner, sehingga melebarkannya, misalnya penghambat saluran kalsium atau mengurangi stres pada jantung, misalnya beta-blocker, dan plak. stabilisator, misalnya statin.
Untuk penyebab spesifik penyumbatan jantung, misalnya vaskulitis arteri koroner, obat modulasi kekebalan mungkin diperlukan.
Bagaimana prosedur untuk Penyumbatan Jantung/Arteri Tersumbat?
Penilaian arteri koroner
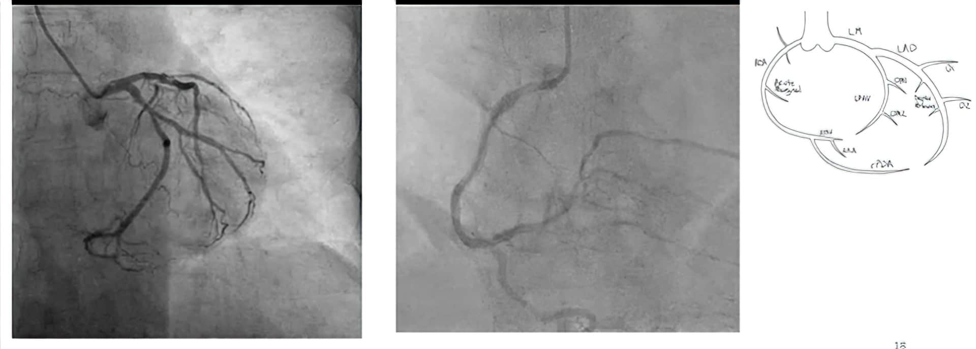
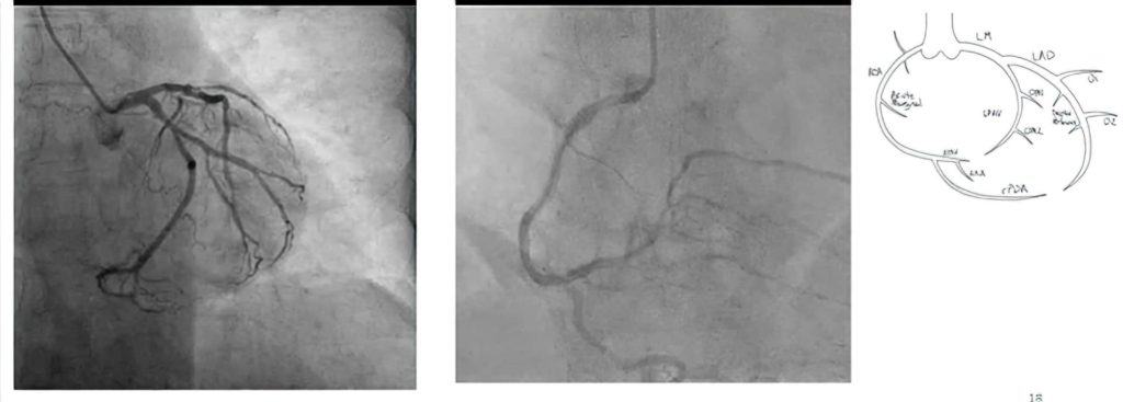
Angiografi koroner invasif (ICA)
Ini adalah metode “standar emas” yang digunakan untuk penilaian arteri koroner.
Kateter yang sangat tipis dan fleksibel dimasukkan melalui arteri radialis atau arteri femoralis. Pewarna kontras kemudian disuntikkan dengan pencitraan sinar-X untuk memvisualisasikan arteri koroner.
Modalitas tambahan yang dapat digunakan untuk menilai arteri koroner lebih lanjut
Cadangan Aliran Pecahan (FFR)
This is used to assess the degree of pressure-flow difference after and before the stenotic part of the coronary artery.
A fine flexible catheter with a pressure-measuring sensor is threaded through the blockage and pressure readings are taken.
Revaskularisasi Arteri Koroner yang Tersumbat
Ada dua cara utama untuk mengembalikan aliran darah yang cukup ke arteri koroner yang tersumbat secara signifikan:
- Intervensi Koroner Perkutan (PCI)
- Cangkok bypass arteri koroner (CABG)
- Kombinasi hybrid dari dua hal di atas
Pilihan medis atas prosedur revaskularisasi akan bergantung pada jumlah penyumbatan, jumlah pembuluh darah yang tersumbat, sifat penyumbatan, status fungsi jantung, dan kondisi medis pasien yang menyertainya.

